The results of recent research from South Korea underscore the importance of addressing overwork as an occupational health concern and highlight the need for workplace policies that moderate excessive working hours and address long hours as a key factor in employees’ cognitive and emotional health.
The findings suggest that long working hours may alter the structure of the brain, particularly in areas associated with emotional regulation and executive function, such as memory and problem solving.

The researchers said, "While the results should be interpreted cautiously due to the exploratory nature of this pilot study, they represent a meaningful first step in understanding the relationship between overwork and brain health."
Long working hours have previously been linked to increased risk of cardiovascular disease, metabolic disorders and mental health issues. Whilst the behavioural and psychological consequences of overwork are reasonably well understood, the underlying neurological mechanisms and anatomical changes are not.
The researchers utilised structural brain volume analysis to compare the impact of overwork on specific brain regions in healthcare workers routinely clocking up long working hours, defined as 52 or more a week.
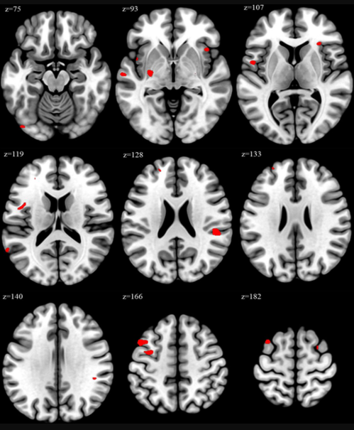
Differences in brain volume were assessed using voxel-based morphometry (VBM)---a neuroimaging technique that identifies and compares regional differences in levels of grey matter-and atlas-based analysis, which uses pre-defined references to identify and label structures in images like brain scans.
VBM showed that people who worked 52 or more hours a week displayed peak increases in 17 regions, including the middle frontal gyrus, the superior frontal gyrus (which is involved in attention, planning, language processing and decision-making), and the insula, when compared to participants who worked standard hours every week. The insula has a key role in integrating sensory, motor, and autonomic feedback from the body. It is involved in emotional processing, self-awareness, and understanding social context.
The researchers said, "The observed changes in brain volume may provide a biological basis for the cognitive and emotional challenges often reported in overworked individuals. Future longitudinal and multi-modal neuroimaging studies are warranted to confirm these findings and elucidate the underlying mechanisms."
Read more: Overwork and changes in brain structure: a pilot study | Occupational & Environmental Medicine

